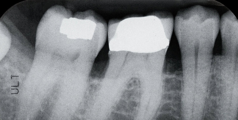
How to Tell If You Have Cavities
Today we're going to explore the world of cavities. Cavities, also known as dental caries, are areas of tooth decay that create holes in the teeth. They're often the result...
Discover evidence-based insights and breakthrough research in dental health
Today we're going to explore the world of cavities. Cavities, also known as dental caries, are areas of tooth decay that create holes in the teeth. They're often the result...
Everyone hates having bad breath, which is called halitosis. It can even be an anxiety trigger. The reasons behind halitosis, more commonly referred as bad breath, could vary from poor...
If you need extensive tooth replacement or rebuilding, full mouth reconstruction may be the ideal solution for you. Full mouth reconstruction is part of restorative dentistry designed to enhance both...
Gingivitis is a very common and mild type of gum disease (periodontal disease) that can cause inflammation and redness as well as swelling (inflammation) within your gingiva. It's the port...
Sensitivity to food is fairly common, particularly among people between the ages of 20 and 40 (though it is a problem for people of any age). If you experience indications...
People frequently ask whether they can get dental implants with bone loss. The answer is yes, but it takes some extra work as there has to be a secure place...